彩神在线网信彩票-彩神通免费版下载-彩神8争霸vlll-彩神购彩购彩大厅-彩神软件陆立根免费版-彩神ll争霸3-彩神ll彩神8-彩神ll争霸彩票-拼搏在线彩神网网页版科技外周支架系统GoldenFlow™香港首例人体临床入组成功
2015-11-4
2015年10月30日,彩神在线网信彩票-彩神通免费版下载-彩神8争霸vlll-彩神购彩购彩大厅-彩神软件陆立根免费版-彩神ll争霸3-彩神ll彩神8-彩神ll争霸彩票-拼搏在线彩神网网页版科技GoldenFlow™外周支架的FIM(First in Man)临床实验的首例入组在香港威尔斯亲王医院完成,此为该支架系统全球首次植入人体。此次共入组2例病人,使用了3个GoldenFlow™外周支架。手术过程顺利,支架定位准确、释放平稳。
与市场上绝大多数激光雕刻的外周支架不同,彩神在线网信彩票-彩神通免费版下载-彩神8争霸vlll-彩神购彩购彩大厅-彩神软件陆立根免费版-彩神ll争霸3-彩神ll彩神8-彩神ll争霸彩票-拼搏在线彩神网网页版科技自主研发的GoldenFlow™系统的支架是编织支架,它克服了激光雕刻支架支撑力弱,容易打折和容易疲劳断裂的缺点,同时通过特殊的支架编织花纹设计和具有补偿功能的输送系统配合,很好地解决了编织支架因为短缩率大,定位困难的缺点。


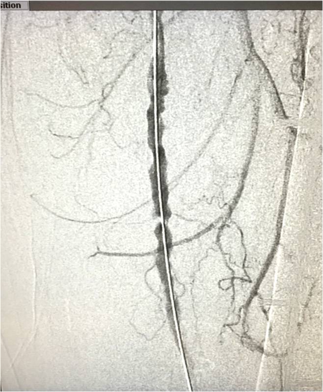
图1 病变位置 图2 植入GoldenFlow™外周支架
GoldenFlow™外周支架系统的产品特点:
1)是一款编织型外周裸支架,具有超柔顺性和抗疲劳性能。
2)支架径向支撑力是普通激光切割支架的数倍,对血管斑块具有很好的支持作用,期待能有更好的临床有效性。
3)支架分段式设计和独特的自补偿输送系统设计,保证手术过程支架定位准确、释放稳定。
4)该支架系统有再定位功能。在支架释放小于50%时,可以将支架回收到鞘管中,重新定位释放。
5)使用简单。

图3 GoldenFlow™外周支架超柔顺性能
下肢外周动脉PAD介绍:
下肢PAD也称为下肢动脉硬化闭塞症,是由于下肢动脉粥样硬化斑块形成,引起下肢动脉狭窄、闭塞,进而导致肢体慢性缺血。随着社会整体生活水平的提高和人口的老龄化,下肢动脉硬化闭塞症的发病率逐年提高。PAD后果严重, 包括间歇性跛行、截肢等。资料显示,在欧洲和北美,有2700万人患有PAD,在我国自然人群中下肢PAD的标化患病率约3%。20%的PAD患者在5年内会出现非死亡性心梗或卒中,约30%的PAD患者会在5年内死亡