近日,LAmbre™左心耳封堵器首次在温州医科大学第一医院完成植入。该日连续使用LAmbre™左心耳封堵器系统完成四例手术植入,均取得理想的封堵效果,使温州医科大学第一医院成为浙江省最先使用彩神在线网信彩票-彩神通免费版下载-彩神8争霸vlll-彩神购彩购彩大厅-彩神软件陆立根免费版-彩神ll争霸3-彩神ll彩神8-彩神ll争霸彩票-拼搏在线彩神网网页版科技LAmbre™左心耳封堵器系统的中心。
据黄伟剑教授介绍,该四例病例均十分具有挑战性。患者心耳口部较大或心耳较浅。此前也曾尝试使用其他品牌的左心耳封堵器进行封堵,因可能存在较大手术风险或无法取得理想的手术结果,一直未获得满意的解决方案。随着彩神在线网信彩票-彩神通免费版下载-彩神8争霸vlll-彩神购彩购彩大厅-彩神软件陆立根免费版-彩神ll争霸3-彩神ll彩神8-彩神ll争霸彩票-拼搏在线彩神网网页版科技公司具有完全自主知识产权的创新产品LAmbre™左心耳封堵器系统在国内上市,黄伟剑教授邀请来自香港的林逸贤医生探讨采用LAmbre™左心耳封堵器系统对此类型患者进行手术封堵的可行性方案,并最终决定尝试使用LAmbre™左心耳封堵器进行手术封堵。这四台手术平均时长均小于30分钟。术后行TEE多个切面评估,四位患者左心耳均封堵完全,无残余分流,对二尖瓣及左上肺静脉均无影响。
黄伟剑教授在手术中

术中交流

黄伟剑教授团队与林逸贤医生合影
黄伟剑教授所在的温州医科大学附属第一医院是我国最早开展左心耳封堵术、技术最成熟的中心之一。目前已累计开展近300例左心耳封堵手术,并在对不同品牌的左心耳封堵器械的使用上皆具丰富经验。
谈及本次LAmbre™左心耳封堵器的植入体验,黄伟剑教授表示:LAmbre™左心耳封堵器能够适用于多种左心耳解剖结构,具备独特的多重固定机制,不用担心掉伞,可以肯定地说这绝对是个好产品,可以让左心耳封堵术更安全、简单、有效。
在产品上“你无我有、你有我优”的匠心设计,让LAmbre™左心耳封堵器系统一次次在世界学术舞台上成功挑战其他同类产品难以完成的高难度病例。LAmbre™早于2016年6月在欧洲获得CE认证并成功上市,该产品曾多次在国际尖端学术会议上被术者用来对挑战性病例进行手术封堵演示,并曾多次在其他品牌左心耳封堵器产品难以达成手术效果时“挺身而出”,完美演绎。。随着LAmbre™左心耳封堵器系统在国内上市,将会有越来越多的中国患者从中受益。
病例鉴赏:
患者资料(女性,71岁)
既往病史:
1.糖尿病8年余,服用达美康片、阿卡波糖,注射甘精胰岛素16u睡前降血糖,血糖控制不佳;
2.高血压病史12年,口服安博诺,血压控制情况尚可。
入院诊断:
1.心律失常(持续性心房颤动);
2.房室传导阻滞 永久单腔起搏器植入术后 心脏起搏器更换术后(升级HIS起搏) 心功能Ⅱ级;
3.高血压病;
4.II型糖尿病;
5.慢性肾功能不全

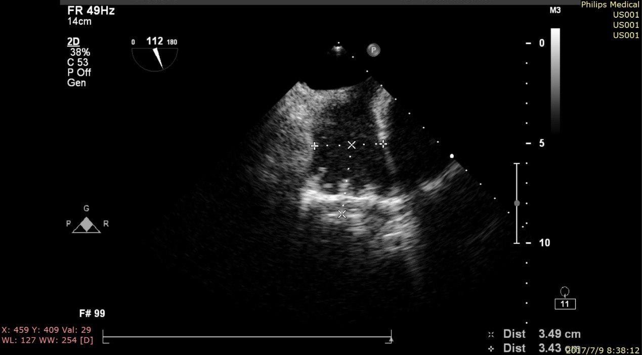
术前TEE评估:
左心耳开口及深度的测量

手术过程:
术中左心耳造影
左心耳封堵器封堵伞打开后造影
左心耳封堵器释放后造影
术后TEE评估:
术后TEE各个角度检查,患者左心耳封堵完全,无残余分流,对二尖瓣及左上肺动脉均无影响