4月13日-15日,由湖南省医学会心血管病专业委员会主办、中南大学湘雅二医院承办的2018潇湘国际心血管病学术大会在长沙顺利召开。本次大会邀请葛均波院士、张运院士,胡大一教授、霍勇教授、王建安教授、董尔丹教授、马长生教授等著名心血管病专家莅临讲学,对心血管领域热点问题进行深入探讨和交流。彩神在线网信彩票-彩神通免费版下载-彩神8争霸vlll-彩神购彩购彩大厅-彩神软件陆立根免费版-彩神ll争霸3-彩神ll彩神8-彩神ll争霸彩票-拼搏在线彩神网网页版科技公司参与了本次大会,并在大会期间举办卫星会。
本次卫星会由武汉大学人民医院黄从新教授和中南大学湘雅二医院周胜华教授共同担任会议主席,中南大学湘雅二医院刘启明教授、香港嘉诺撒医院亚洲心脏病中心林逸贤教授、同济大学附属第十人民医院徐亚伟教授和沈阳军区总医院朱鲜阳教授担任会议主持人,并邀请多位知名专家以专题研讨和案例分析等形式共同探讨和分享使用彩神在线网信彩票-彩神通免费版下载-彩神8争霸vlll-彩神购彩购彩大厅-彩神软件陆立根免费版-彩神ll争霸3-彩神ll彩神8-彩神ll争霸彩票-拼搏在线彩神网网页版科技公司结构心封堵器产品的临床经验。
主题演讲:
卫星会上,同济大学附属第十人民医院徐亚伟教授与大家分享了左心耳封堵术及该术式的发展。徐教授表示,通过对比分析目前国内外众多临床研究数据,左心耳封堵术的并发症正在明显减少,而手术封堵成功率也大大增加,左心耳封堵器目前在中国29个省200家中心植入已超过2500例,在中国正处于快速发展的状态,现阶段需要更加规范化的操作来保证术式更安全有效。

(图:徐亚伟教授演讲现场)
随后,香港嘉诺撒医院亚洲心脏病中心的林逸贤教授就LAmbre™的手术植入经验和技巧与大家进行了分享。林教授表示,LAmbre™左心耳封堵器在全球各中心累计植入已超过1000例。与其它已上市的左心耳封堵器系统相比,LAmbre™最大的优势是其能够在患者的左心耳开口处进行释放,避免了鞘管在心耳里操作所带来的风险。同时,针对封堵器容易脱落的问题,LAmbre™固定盘上有双层钩状锚定设计,可以钩在左心耳内的肌小梁上,利用心耳中的梳状肌建立起一个稳定的机制。此外,林教授通过一些病例,佐证LAmbre™可以适合各种类型的左心耳结构,无论是过大、过浅,还是有疑似血栓的左心耳,都能进行有效稳定的封堵。最后,林教授总结强调,LAmbre™是一个有很多可能性的、非常好的民族品牌产品,其对左心耳封堵术的推广普及有着巨大的意义。

(图:林逸贤教授演讲现场)
紧接着,山东大学齐鲁医院钟敬泉教授发表了主题为“LAmbre™,一站式房颤消融加左心耳封堵的首选”的演讲。钟教授表示,LAmbre™之所以会成为一站式房颤消融加左心耳封堵的首选,是因为其具备其它左心耳封堵器所不具备的三大独特优势。首先,LAmbre™左心耳封堵器型号齐全,适应各种类型尤其是一些特殊形态的左心耳解剖结构;其次,LAmbre™左心耳封堵器可实现在术中反复回收和再释放,对于初学者而言操作简单,学习曲线短;第三,LAmbre™的大部分操作只在左心耳开口部进行,降低了刺破脆弱的左心耳壁的风险,能够极大的降低并发症的发生。

(图:钟敬泉教授演讲现场)
接下来,中国医学科学院阜外医院的胡海波教授与大家分享了其使用LAmbre™进行巨大房间隔缺损合并房颤的同期封堵治疗经验,并对LAmbre™左心耳封堵器系统做出了较高的评价。胡教授表示,他对LAmbre™左心耳封堵器有着很深的感情,LAmbre™在术中的使用手感和亲和度特别好。

(图:胡海波教授演讲现场)
卫星会的最后,中南大学湘雅二医院的方臻飞教授发表了题为“急性心肌梗死后室间隔穿孔的临床及预后”的演讲。方教授表示,急性心肌梗死后发生室间隔穿孔的比例越来越多,而且穿孔的形态也是千奇百态,目前还没有特定的封堵器可以治疗,希望早日能有一款合适的封堵器提高封堵成功率。

(图:方臻飞教授演讲现场)
手术直播:
4月15日上午,大会现场还直播了一台使用LAmbre™左心耳封堵器系统完成的封堵手术,由具有丰富左心耳封堵经验的林逸贤教授担任主要术者。
患者情况:
患者为68岁女性,心电图发现“心房纤颤”。CHA2DS2-VASC评分:5分;HAS-BLED评分:2分。
手术过程:
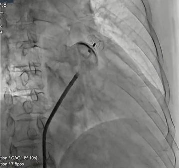
林教授选用型号为LT-LAA-1832、独特小伞大盘设计的LAmbre™左心耳封堵器对患者实施封堵。手术全程未使用食道超声,未对患者进行全麻,一次性封堵完全。释放后牵拉试验,固定盘稳定。再次造影显示封堵后无残余分流,手术仅用25分钟。

(图:术后造影显示封堵后无残余分流)

(图:林教授在术中介绍LAmbre™左心耳封堵器系统)
术者评价:
林教授在术中介绍时表示:“LAmbre™极佳的生物相容性能够使组织快速爬附;双盘设计密闭左心耳开口,有效防止血栓脱落。LAmbre™在中国上市前临床研究结果证明,其术后血栓发生率仅为1.3%,极大的降低了卒中风险。”
LAmbre™左心耳封堵器在全球累计植入已超过1000例,于欧洲、亚洲和南美洲约30个临床中心的上市后临床研究业已启动。同时,彩神在线网信彩票-彩神通免费版下载-彩神8争霸vlll-彩神购彩购彩大厅-彩神软件陆立根免费版-彩神ll争霸3-彩神ll彩神8-彩神ll争霸彩票-拼搏在线彩神网网页版正积极推进该产品于美国的市场准入工作。“匠心独运,十年一剑”的LAmbre™正对全球市场产生越来越深的影响力。杰出的产品设计和卓越的术中优势为LAmbre™赢得了业界的高度认可,为彩神在线网信彩票-彩神通免费版下载-彩神8争霸vlll-彩神购彩购彩大厅-彩神软件陆立根免费版-彩神ll争霸3-彩神ll彩神8-彩神ll争霸彩票-拼搏在线彩神网网页版公司赢得了广泛赞誉与尊重,更为全球患者带来了安全有效的治疗选择。