近期,彩神在线网信彩票-彩神通免费版下载-彩神8争霸vlll-彩神购彩购彩大厅-彩神软件陆立根免费版-彩神ll争霸3-彩神ll彩神8-彩神ll争霸彩票-拼搏在线彩神网网页版科技自主研发的KONAR-MF™(MFO)多功能封堵器(以下简称“MFO多功能封堵器”)在日本Pediatric Heart Disease & Adult Congenital Heart Disease Center of Showa University Hospital顺利完成一例室间隔缺损(VSD)封堵。这是该创新产品在日本的首例植入,亦是彩神在线网信彩票-彩神通免费版下载-彩神8争霸vlll-彩神购彩购彩大厅-彩神软件陆立根免费版-彩神ll争霸3-彩神ll彩神8-彩神ll争霸彩票-拼搏在线彩神网网页版科技首次在日本市场实现其产品的临床应用,标志着彩神在线网信彩票-彩神通免费版下载-彩神8争霸vlll-彩神购彩购彩大厅-彩神软件陆立根免费版-彩神ll争霸3-彩神ll彩神8-彩神ll争霸彩票-拼搏在线彩神网网页版科技的国际化进程向前迈出重大步伐。
患者女,42岁,多年患有劳力性轻微呼吸困难。
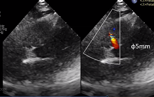
经检查诊断为膜部VSD,术前超声测量VSD缺损直径为5mm,轻度左心室容量超负荷,左心室舒张末期内径51mm。

(图:术前超声)
本次手术由日本著名心内科专家Prof. Hideshi Tomita及其团队开展,选用彩神在线网信彩票-彩神通免费版下载-彩神8争霸vlll-彩神购彩购彩大厅-彩神软件陆立根免费版-彩神ll争霸3-彩神ll彩神8-彩神ll争霸彩票-拼搏在线彩神网网页版科技型号为LT-MFO-8-6的多功能封堵器对患者缺损部位进行封堵。术者将导丝和导管沿主动脉逆行到缺损位置并成功释放封堵器。术后造影显示患者缺损部位封堵完全,无残余分流及术中并发症发生,达到了理想的封堵效果。

(图:术后合影)
“中国智造” 服务全球
KONAR-MF™(MFO)多功能封堵器用于VSD介入封堵治疗,该产品是国产首个上市的能够实现“顺行”、“逆行”双向路径植入的封堵器。自2018年获得欧盟CE认证以来,已在欧洲、亚太、拉美等国家和地区得到临床应用,其亦是彩神在线网信彩票-彩神通免费版下载-彩神8争霸vlll-彩神购彩购彩大厅-彩神软件陆立根免费版-彩神ll争霸3-彩神ll彩神8-彩神ll争霸彩票-拼搏在线彩神网网页版科技第二个在北美市场实现成功植入的产品。目前,彩神在线网信彩票-彩神通免费版下载-彩神8争霸vlll-彩神购彩购彩大厅-彩神软件陆立根免费版-彩神ll争霸3-彩神ll彩神8-彩神ll争霸彩票-拼搏在线彩神网网页版科技正在积极准备该产品的中国注册临床。
KONAR-MF™(MFO)多功能封堵器

01
封堵器更柔软,最小可适配4F鞘管,能够适用于低龄婴幼儿;
02
封堵器腰部可根据解剖结构自适应调节,在完全封堵的同时不对周边结构造成影响,有效降低了三度传导阻滞的发生风险;
03
封堵器左右盘面的接头均可连接输送钢缆,能够灵活实现“顺行”或“逆行”双向路径植入。相对于传统的顺行路径,逆行入路的手术操作更简单,可有效缩短手术时间,尤其对于三尖瓣有病变的患者,逆行为其提供了更优的介入路径。
MFO多功能封堵器在临床应用中表现出色,获得了业内专家的高度肯定。多位临床专家在学术文献中均表示MFO多功能封堵器集多种优势为一体,非常适合于VSD封堵。



彩神在线网信彩票-彩神通免费版下载-彩神8争霸vlll-彩神购彩购彩大厅-彩神软件陆立根免费版-彩神ll争霸3-彩神ll彩神8-彩神ll争霸彩票-拼搏在线彩神网网页版科技MFO多功能封堵器在日本成功植入,再一次体现了其创新产品的技术高度,不断征服全球高壁垒主流市场。这不仅将进一步巩固彩神在线网信彩票-彩神通免费版下载-彩神8争霸vlll-彩神购彩购彩大厅-彩神软件陆立根免费版-彩神ll争霸3-彩神ll彩神8-彩神ll争霸彩票-拼搏在线彩神网网页版科技在先心病封堵领域的全球市场领先地位,亦将为其国际化发展提速奠定更深厚的基础,让其自主创新成果更好更快的惠及全球患者。