近期,中国医学科学院阜外医院深圳医院潘湘斌教授带领结构性心脏病团队,使用彩神在线网信彩票-彩神通免费版下载-彩神8争霸vlll-彩神购彩购彩大厅-彩神软件陆立根免费版-彩神ll争霸3-彩神ll彩神8-彩神ll争霸彩票-拼搏在线彩神网网页版科技LAmbre™左心耳封堵器系统和LAnavi™分段控弯导引系统完成华南区域首例纯食道超声(TEE)引导下的左心耳封堵术,成功为一位具有高危因素的房颤患者从源头解除了脑中风这枚不定时的隐形“炸弹”。
01 病例信息
本次房颤患者为一位62岁女性,合并多种基础疾病,心房颤动伴快速心室率,肥厚性心肌病,心源性晕厥,心功能不全,肝功能不全,颈动脉硬化,睡眠呼吸暂停低通气综合征等。其中卒中评分CHA2DS2-VASc为3分,出血评分HAS-BLED为3分,具有很高的卒中和出血风险。7月份该患者入院检查,食道超声显示左心房以及心耳内见大量浓密云雾影,左心耳底部可见低回声条带状阴影,随着心跳进行轻微晃动,考虑血栓形成,遵医嘱口服抗凝药3个月。
近期患者由于胸闷,晕厥和气促,便慕名前往中国医学科学院阜外医院深圳医院结构性心脏病团队就诊,以寻求最佳的治疗方案。根据患者的基础疾病情况,在潘湘斌教授带领下,结构心团队决定对该患者行食道超声引导下左心耳封堵术,该手术能够大大降低防房颤引发中风的风险,从根本上拆除这颗“定时炸弹”,且患者和医护人员不用吃射线。

(图:潘湘斌教授手术画面)
02 封堵过程
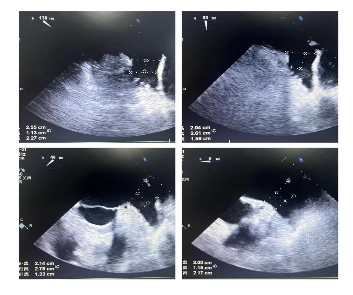
潘教授通过食道超声从4个不同的角度来观察患者左心耳的形态情况,显示心耳为反鸡翅型,位置较低,锚定区为23mm,封堵区为26mm。术者结合多年的临床经验,最终选用型号为LT-LAA-2632的LAmbre™左心耳封堵器对患者进行封堵。

▲(图:通过超声观察进行穿刺)
在食道超声引导下进行房间隔穿刺,由于心耳为反鸡翅型,穿刺位点需靠下靠前,潘教授先在90度双腔切面将定位靠下,再在45度主动脉短轴切面将定位靠前。穿刺成功后上导丝交换彩神在线网信彩票-彩神通免费版下载-彩神8争霸vlll-彩神购彩购彩大厅-彩神软件陆立根免费版-彩神ll争霸3-彩神ll彩神8-彩神ll争霸彩票-拼搏在线彩神网网页版LAnavi™分段控弯导引系统送至心耳口部,经过A、B双弯的调整使得鞘管轴向与心耳同轴,获得理想封堵位置。然后推送钢缆释放出固定盘,锚定后退鞘释放出封堵盘。超声下观察贴合良好,无明显残余分流,牵拉测试稳定,即释放左心耳封堵器。释放后再次通过超声各个角度进行验证,封堵结果完美有效,整个过程一气呵成,手术取得了极大的成功。


牵拉测试稳定 完美有效封堵
03 术后总结
相对传统介入手术,运用潘湘斌教授原创的单纯超声引导经皮介入技术进行左心耳封堵具有以下优势:在超声引导下可以清晰显示心脏结构,测量左心耳在心脏运动及正常充盈状态下的直径;对于在房间隔穿刺过程中可准确定位穿刺点,位于房间隔后下部的穿刺点有助于输送鞘管以较小的角度进入左心耳,超声定位还能避免损伤主动脉及其他重要结构;在封堵器释放过程中,超声可实时准确判断封堵器位置,形态,避免封堵器放置过深或过浅,避免封堵器遮挡二尖瓣或肺静脉。
LAmbre™左心耳封堵器系统
LAmbre™左心耳封堵器系统是我国首款具有完全自主知识产权的左心耳封堵器械,其为盘式封堵器代表,由固定盘和密封盘两个部分构成,共有17种型号供临床选择,可灵活适应于不同形态和大小的心耳,满足复杂心耳的封堵需求。
目前,LAmbre™已在全球逾40个国家累计临床应用超两万例,成为房颤患者卒中预防安全、有效的选择,其在产品设计和技术上均具行业先进性,拥有“伞盘设计”、“便于操作”、“植入释放稳定”、“型号规格齐全”、“能够适用于各种左心耳解剖结构”、“无需深入左心耳内进行释放”、“配适小规格输送鞘”、“并发症更少”等独特优势,并拥有严密的全球专利布局和与国际接轨的产品质量标准。

LAmbre™左心耳封堵器系统
LAnavi™分段控弯导引系统
LAnavi™全球首创左心耳封堵分段双可调弯导引系统,其具有以下优势:
①前端两段调弯:A弯可实现鞘管与左心耳开口的最佳轴向。B弯确保房间隔穿刺点与左心耳开口的同轴性,避免二次穿刺,完美适应心脏解剖结构;
②柔性tip头,曲面光滑,最大程度防止损伤血管和心脏内壁。

LAnavi™分段控弯导引系统