2024年6月27-30日,第十八届东方心脏病学会议和世界心脏病学大会(OCC-WCC 2024)在上海国际会议中心盛大召开。在30日的创新手术转播论坛,来自上海健康医学院附属周浦医院宁忠平教授团队成功运用LAxible™新一代左心耳封堵器完成一台左心耳封堵手术。
LAxible™新一代左心耳封堵器在初代LAmbre™基础上进行了三大设计优化升级,使其具有更好的稳定性、更低的并发症发生率和更多的型号规格以匹配不同类型心耳,其可为非瓣膜性房颤患者的卒中预防带来全新且丰富的疗法选择。
病例信息
年龄:70岁
性别:男
症状:患者1年前无明显诱因出现心悸,未予重视,1个月前心悸加重,行心电图提示房颤。
既往病史:双腔起搏器植入,脑梗塞病史、高血压病史,服用厄贝沙坦药物降压,血压控制尚可,糖尿病多年,平时服用二甲双胍,格列齐特降糖,主动脉
及冠状动脉粥样硬化,肝多发囊肿可能。

▲术前CT重建

▲术前TEE多角度观察
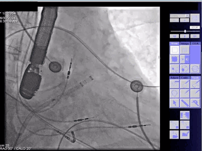
封堵过程

▲测量心耳直径
在工作体位下测得锚定区:21mm、封堵区:19mm,选用 LAxible™ 2632常规型号的封堵器。


▲固定盘释放形态良好
推送封堵器的固定盘到达预定位置,固定盘打开良好,mark点与封堵器腰部显影点基本位于同一条直线上,未影响回旋支。


▲顺利展开封堵盘
接着保持钢缆不动,退鞘展开封堵盘,封堵盘密封形态良好,牵拉测试稳定,同时不影响毗邻结构。


▲牵拉稳定,释放后再观察
于是术者逆时针旋转钢缆,顺利释放封堵器。结合TEE观察到无残余分流,未影响周围组织且无术后心包积液。一次完成封堵,手术很成功。
新一代LAxible™左心耳封堵器

①固定盘一体化设计能够提高结构的稳固性和耐疲劳性能,使得固定盘稳固性提高18%;
②倒刺末端做钝化处理,有助于减少心包积液发生率,提升手术安全性;
③固定盘阻流膜全包覆(除倒刺外)使得U型钩更柔软,与心耳接触更安全。