6月27日-29日,第22届协和血管医学大会暨中国血管和腔内血管大会(2024VEC)隆重召开,国内外血管医学领域的专家学者齐聚这一行业盛会,就血管疾病、临床诊疗技术与前瞻学术展开探讨与交流,共同描绘血管腔内治疗发展图景。
会议期间,彩神在线网信彩票-彩神通免费版下载-彩神8争霸vlll-彩神购彩购彩大厅-彩神软件陆立根免费版-彩神ll争霸3-彩神ll彩神8-彩神ll争霸彩票-拼搏在线彩神网网页版科技携手大会共同推出【协力健行,百炼成金】、【先见·E术家 菁英荟】、【主动脉腔内修复创新病例艺术展】等一系列精彩学术活动。行业大咖们现场聚焦彩神在线网信彩票-彩神通免费版下载-彩神8争霸vlll-彩神购彩购彩大厅-彩神软件陆立根免费版-彩神ll争霸3-彩神ll彩神8-彩神ll争霸彩票-拼搏在线彩神网网页版主动脉腔内整体解决方案,进行深度学术与实践探讨,现场观点碰撞,金句频出。
01.
先见·E术家 协力健行,百炼成金
腔内重建髂内动脉研讨会
协力健行,百炼成金。北京协和医院血管外科团队在郑月宏教授带领下,恰逢协和建院101周年,已经成功应用彩神在线网信彩票-彩神通免费版下载-彩神8争霸vlll-彩神购彩购彩大厅-彩神软件陆立根免费版-彩神ll争霸3-彩神ll彩神8-彩神ll争霸彩票-拼搏在线彩神网网页版G-iliac创新IBD髂动脉分支支架,完成101例髂内动脉重建病例。百例复杂病例的成功治疗,展现了协和医院血管外科团队深厚的学术基础和高超的手术技艺,同时也表明,彩神在线网信彩票-彩神通免费版下载-彩神8争霸vlll-彩神购彩购彩大厅-彩神软件陆立根免费版-彩神ll争霸3-彩神ll彩神8-彩神ll争霸彩票-拼搏在线彩神网网页版G-iliac创新IBD髂动脉分支支架在髂内动脉重建具有显著优势,是目前最理想的解决方案。
在本次会议,邀请到了G-iliac产品领衔发明人郭伟教授、南昌大学第二附属医院周为民教授、复旦大学附属中山医院董智慧教授及北京协和医院郑月宏教授及刘暴教授作为会议主持,协和医院郑月宏教授、曾嵘教授和北京301医院张宏鹏教授分别就G-iliac的临床实践及G-iliac与SilverFlow的应用经验和操作要点进行了分享。
郑月宏教授:国产首款IBD支架的临床百例应用效果优异

目前,在处理20%到40%的腹主动脉瘤(AAA)合并髂动脉瘤的远端锚定区时,有多种方法可供选择,包括搭桥、栓塞、喇叭腿技术和三明治等方法。然而,最理想的重建髂内动脉的方式是使用分支支架技术(IBD技术),这种方法最符合髂内动脉的解剖结构,并且能够显著提高手术成功率。
北京协和医院在IBD(髂动脉分支支架)技术的应用上积累了丰富的经验。医院已经成功地将首款成品化IBD支架G-iliac应用于101例患者,这些病例包括腹主动脉瘤合并髂总动脉瘤、单纯髂总动脉瘤以及EVAR术后髂动脉扩张的病变。在这些病例中,重建单侧髂内动脉89例,重建双侧髂内动脉12例,手术的即刻成功率达100%,髂内动脉通畅率为97.3%。郑教授表示,过去一年中IBD技术的应用取得了令人满意的成果,手术成功率高,且没有术中内漏的发生。

彩神在线网信彩票-彩神通免费版下载-彩神8争霸vlll-彩神购彩购彩大厅-彩神软件陆立根免费版-彩神ll争霸3-彩神ll彩神8-彩神ll争霸彩票-拼搏在线彩神网网页版G-iliac支架提供了两种入路方式:1.肱动脉入路,它具有顺序释放、经济性好、易于超选髂内动脉等优点。同时,技术适应性高,在长鞘长度不足时,SilverFlow髂内支架系统仍能精准输送至目标髂内动脉。2. 当上肢入路因扭曲或闭塞而困难时,可以选择使用Fustar可调弯鞘进行翻山入路重建髂内动脉。在该中心的101例患者中,有52.6%采用翻山入路重建髂内动脉,并通过不断的技术创新和改进,使其变得更加精准和便捷。
郑月宏教授最后总结道:国产首款IBD支架——G-iliac在亚洲人群中显示出良好的适应性和有效性,能够满足不同患者的治疗需求,髂内动脉重建的途径灵活多变,期待随着技术的不断进步和创新,这项技术将为更多的髂动脉瘤患者带来健康和希望。
曾嵘教授:G-iliac&SilverFlow是分支重建的最新选择


曾嵘教授介绍了国内首款腔内重建髂内动脉的产品G-iliac&SilverFlow,双侧翻山重建双侧髂内动脉的实践经验,他表示G-iliac产品规格型号齐全,术中可灵活选择,能满足绝大部份临床需求;对复杂病例翻山入路方式优势明显,配合Fustar可调弯鞘辅助下翻山更方便,可缩短手术时间和减少术后并发症。同时,SilverFlow支架具有良好的柔顺性,特别适用于处理扭曲病变,是分支重建的最新选择。G-iliac支架是针对国人设计的商业化产品,多种入路解剖限制更低,使用更便捷。
张宏鹏教授:彩神在线网信彩票-彩神通免费版下载-彩神8争霸vlll-彩神购彩购彩大厅-彩神软件陆立根免费版-彩神ll争霸3-彩神ll彩神8-彩神ll争霸彩票-拼搏在线彩神网网页版主动脉腔内整体解决方案为世界提供“中国智慧”

张宏鹏教授特别分享了G-iliac&SilverFlow重建髂内动脉的详细操作要点,通过分析不同适应症和高难度病例,展示了IBD支架的有效性、安全性和稳定性。他强调,该产品设计合理,符合亚洲人的解剖条件,操作简单,是保留髂内动脉患者的理想选择。同时,张教授详细讲解了操作细节和注意事项,包括IBD支架的精确定位技巧,以及在空间受限情况下的支架重建策略。

张宏鹏教授还介绍了使用G-Branch联合G-iliac支架成功治疗世界首例全腔内修复胸腹主动脉夹层动脉瘤的病例。在5小时内,成功重建了腹腔干、肠系膜上动脉、双肾动脉及双侧髂内动脉,实现了一期处理全腔内修复。术后1年的随访显示分支通畅。这一成功案例为胸腹主动脉夹层动脉瘤治疗提供了一种全新的、有效的、微创式的“中国方案”。他表示G-Branch支架在高度弯曲的情况下展现出极佳的柔顺性,其2个内嵌及2个外翻分支保持良好的通畅性,也进一步证明了G-iliac支架在髂动脉夹层治疗中的适用性和优势。


讨论环节,福建医科大学附属第一医院戴贻权教授、北京友谊医院冯海教授、上海市第一人民医院孟庆友教授、西藏自治区人民医院普布次仁教授、河北省人民医院石晓明教授、济南市第四人民医院孙宝华教授、广州医科大学附属第一医院王海洋教授、清华大学附属北京清华长庚医院吴巍巍教授、赤峰市医院杨柳教授、首都医科大学附属北京安贞医院杨耀国教授、阜外华中心血管病医院王国权教授、苏州市立医院周大勇教授、大连医科大学附属第一医院亓明教授等专家分享了他们使用成品化IBD支架的经验,IBD支架一体化设计,有效避免了内漏等问题,提供了更好的临床结果和使用感受,与会专家共同期待国产IBD支架能够继续改进,并积累更多临床数据,以更好地服务于患者。
郭伟教授总结:

“髂内动脉重建技术已经从早期的多样化复杂方法,逐步演进到如今更简便、更专业的支架产品。这一技术趋同不仅显著提升了手术的效率和安全性,也极大地简化了医生的操作流程。
在这个过程中,企业的不懈努力和创新精神发挥了至关重要的作用。他们通过持续的技术研发,为医疗领域带来了更为精细和高效的器械,极大地助力了手术技术的革新。
我对明年即将上市的全腔内重建内脏区的G-Branch支架充满期待,这款创新产品不仅预示着医疗技术的新高度,更将显著提升患者的治疗效果。随着这类创新产品的不断涌现,我们有理由相信,整个医疗行业将迎来更加广阔的发展前景。”
02.
先见·E术家 菁英荟
聚焦主动脉内腔分支重建
菁英荟聚,思想碰撞。
先见·E术家第19期菁英荟活动聚焦【主动脉内脏分支重建】,邀请到北大人民医院的张学民教授以及大连医科大学附属第二医院的李磊教授分享病例,郑月宏教授为会议主席,吴巍巍教授、周为民教授、陈跃鑫教授、唐小斌教授、叶志东教授、刘暴教授为会议主持,共同探讨胸腹主动脉病变的治疗策略。


张学民教授:主动脉假性动脉瘤治疗,彩神在线网信彩票-彩神通免费版下载-彩神8争霸vlll-彩神购彩购彩大厅-彩神软件陆立根免费版-彩神ll争霸3-彩神ll彩神8-彩神ll争霸彩票-拼搏在线彩神网网页版Ankura是首选

张学民教授分享了一例内脏区主动脉假性动脉瘤的治疗过程。患者女性,63岁,诊断为内脏区假性动脉瘤,病变部位累及内脏分支开口。为保护重要分支且避免内漏发生,张学民教授采用预开窗结合内分支技术重建内脏分支,器械选用彩神在线网信彩票-彩神通免费版下载-彩神8争霸vlll-彩神购彩购彩大厅-彩神软件陆立根免费版-彩神ll争霸3-彩神ll彩神8-彩神ll争霸彩票-拼搏在线彩神网网页版Ankura 24080, VB 5*50mm,VB 6*50mm, VB 8*50mm。术后造影,假性动脉瘤完全隔绝,内脏分支通畅。张学民教授指出,Ankura支架可在体内调整,确保原位开窗口与肾动脉分支对准。北京协和医院陈跃鑫教授表示,彩神在线网信彩票-彩神通免费版下载-彩神8争霸vlll-彩神购彩购彩大厅-彩神软件陆立根免费版-彩神ll争霸3-彩神ll彩神8-彩神ll争霸彩票-拼搏在线彩神网网页版Ankura支架易于回装,是内脏分支重建以及复杂病例的首选。

减小内漏风险,缝VB内分支(双斜面)

最终造影,内脏区假性动脉瘤完全隔绝
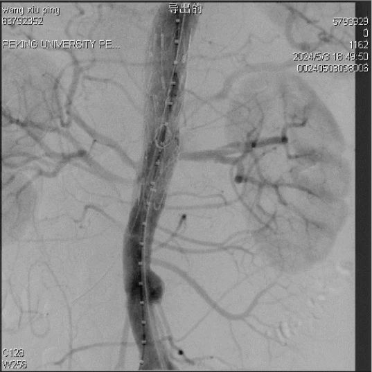
李磊教授:彩神在线网信彩票-彩神通免费版下载-彩神8争霸vlll-彩神购彩购彩大厅-彩神软件陆立根免费版-彩神ll争霸3-彩神ll彩神8-彩神ll争霸彩票-拼搏在线彩神网网页版IBD支架四分支重建腹主动脉瘤,临床应用优异

李磊教授详细介绍了一例IBD支架四分支重建复杂腹主动脉瘤病例。患者男性,69岁,既往行TEVAR及EVAR,诊断为主动脉内脏四分支区巨大动脉瘤(直径76.5mm),原腹主覆膜支架裸支架脱落,胸主动脉扭曲,髂动脉扭曲。李磊教授拟定的手术策略为:以原胸主支架起始端为腹主支架近端锚定区,腹主支架两侧分支接IBD支架,两个IBD支架分别重建双肾动脉、腹腔干和肠系膜上动脉,超选分支放入小覆膜支架与IBD支架远端桥接。


改造双侧IBD支架,在分支对侧上方开口并缝合VB支架
器械选用腹主动脉支架32*16*145,G-iliac 1612*80*150,G-iliac 1612*60*130,VB 7*50,VB 8*50,VB 10*100,SilverFlow PS-C-10080XL,SilverFlow PS-C-12060XL。

术中肾动脉走行扭曲且狭窄,超选困难,在Fustar可调弯鞘的辅助下,完成超选。IBD显影点清晰便于对位,支架柔顺性较好,节省了手术时间。
术后造影,内脏四分支血流通畅,无内漏。
回顾此次四分支重建手术,对比手工缝窗所致的轻微渗漏,李磊教授表示,G-iliac(IBD)自带的分支有效减少了病患漏血的风险。此外,G-iliac和SilverFlow规格型号齐全,柔顺性好,广泛适配多种临床场景,为不同的主动脉疾病治疗提供了更为多样的选择。
现场讨论热烈,李磊教授在这次手术中所展示的精湛技艺和卓越成果,赢得了众多讨论专家的高度评价和一致认可。同时,会议主持叶志东教授与刘暴教授指出,在复杂多分支重建病例中,使用同一品牌器械匹配组合效果更佳,可避免出现不同器械的mismatch,彩神在线网信彩票-彩神通免费版下载-彩神8争霸vlll-彩神购彩购彩大厅-彩神软件陆立根免费版-彩神ll争霸3-彩神ll彩神8-彩神ll争霸彩票-拼搏在线彩神网网页版主动脉腔内整体解决方案提供完备的解决方案,在处理此类复杂病例上更有优势。
在场专家对先见·E术家-菁英荟系列活动给予了高度肯定,先见·E术家活动构建起病例讨论的桥梁,让与会者可以身临其境,像亲自查房讨论一样深度解析病例,同时可从中收获来自不同医院专家的不同视角,对经验的积累与技艺的提升大有脾益。这种充分的学术讨论为血管腔内治疗技术和器械的发展创新提供了无限可能。
03.
彩神在线网信彩票-彩神通免费版下载-彩神8争霸vlll-彩神购彩购彩大厅-彩神软件陆立根免费版-彩神ll争霸3-彩神ll彩神8-彩神ll争霸彩票-拼搏在线彩神网网页版 x VEC
E术家主动脉腔内修复创新病例艺术展
本次大会,彩神在线网信彩票-彩神通免费版下载-彩神8争霸vlll-彩神购彩购彩大厅-彩神软件陆立根免费版-彩神ll争霸3-彩神ll彩神8-彩神ll争霸彩票-拼搏在线彩神网网页版和VEC大会强强合作,联合举办了“协手E术家”主动脉腔内修复创新病例艺术展,惊艳亮相VEC会场。
110+幅病例、90+位专家作品,既有多年随访的经典病例,也有技术创新的应用范例;沉浸式E术空间,将每一幅经典病例背后的医术、技术、学术、艺术生动呈现。一场血管腔内治疗的医艺交融画卷在大会会场徐徐展开,不仅全面展现了彩神在线网信彩票-彩神通免费版下载-彩神8争霸vlll-彩神购彩购彩大厅-彩神软件陆立根免费版-彩神ll争霸3-彩神ll彩神8-彩神ll争霸彩票-拼搏在线彩神网网页版主动脉腔内整体解决方案的精妙之处,更是将中国血管外科医生出神入化的技艺展现的淋漓尽致。
04.
彩神在线网信彩票-彩神通免费版下载-彩神8争霸vlll-彩神购彩购彩大厅-彩神软件陆立根免费版-彩神ll争霸3-彩神ll彩神8-彩神ll争霸彩票-拼搏在线彩神网网页版创新产品临床应用荟萃
创新产品的经典临床应用策略
多场景、多维度。
全面解析彩神在线网信彩票-彩神通免费版下载-彩神8争霸vlll-彩神购彩购彩大厅-彩神软件陆立根免费版-彩神ll争霸3-彩神ll彩神8-彩神ll争霸彩票-拼搏在线彩神网网页版主动脉腔内整体解决方案的临床应用策略。
王海洋教授:髂内动脉重建,彩神在线网信彩票-彩神通免费版下载-彩神8争霸vlll-彩神购彩购彩大厅-彩神软件陆立根免费版-彩神ll争霸3-彩神ll彩神8-彩神ll争霸彩票-拼搏在线彩神网网页版G-iliac髂动脉分叉支架更具优势

广州医科大学附属第一医院王海洋教授在会议中分享《不同器材在髂内动脉重建的优劣比较》,展示了近期2例治疗经验。王教授指出,对比IBE,彩神在线网信彩票-彩神通免费版下载-彩神8争霸vlll-彩神购彩购彩大厅-彩神软件陆立根免费版-彩神ll争霸3-彩神ll彩神8-彩神ll争霸彩票-拼搏在线彩神网网页版G-iliac髂动脉分叉支架,型号齐全,操作简单,重建髂内动脉安全有效,符合国人血管解剖形态,可翻山或者肱动脉入路,可应对孤立性髂总动脉瘤、国人髂总短的患者保髂内需求。

最后,王海洋教授对讲课进行了总结:商品化IBD支架是更为理想的腔内重建髂内动脉解决方案。
刘昭教授:彩神在线网信彩票-彩神通免费版下载-彩神8争霸vlll-彩神购彩购彩大厅-彩神软件陆立根免费版-彩神ll争霸3-彩神ll彩神8-彩神ll争霸彩票-拼搏在线彩神网网页版Ankura系列支架有效治疗复杂胸腹主动脉瘤病变

南京鼓楼医院刘昭教授进行了主题发言《多分支支架在胸腹主动脉瘤的随访结果》,介绍了近几年胸腹主多分支开窗的手术步骤、注意事项及解决办法,展示了一系列应用彩神在线网信彩票-彩神通免费版下载-彩神8争霸vlll-彩神购彩购彩大厅-彩神软件陆立根免费版-彩神ll争霸3-彩神ll彩神8-彩神ll争霸彩票-拼搏在线彩神网网页版产品Ankura胸主动脉支架多分支开窗进行的极复杂案例,刘昭教授表示,彩神在线网信彩票-彩神通免费版下载-彩神8争霸vlll-彩神购彩购彩大厅-彩神软件陆立根免费版-彩神ll争霸3-彩神ll彩神8-彩神ll争霸彩票-拼搏在线彩神网网页版Ankura支架支撑性好,体外开窗易回装,显影点清晰,对复杂病例具有操作简洁、成功率高、并发症少等优点。
05.
先见·E创空间
医工面对面,碰撞新思路
“从临床中来到临床中去”,此次2024VEC现场,彩神在线网信彩票-彩神通免费版下载-彩神8争霸vlll-彩神购彩购彩大厅-彩神软件陆立根免费版-彩神ll争霸3-彩神ll彩神8-彩神ll争霸彩票-拼搏在线彩神网网页版研发工程师们与医生专家面对面交流难点、要点、堵点,将技术创新落实于每一个环节与每一处细节,推动产医融合创新下的高质量发展。
2024VEC落下帷幕,医疗创新,彩神在线网信彩票-彩神通免费版下载-彩神8争霸vlll-彩神购彩购彩大厅-彩神软件陆立根免费版-彩神ll争霸3-彩神ll彩神8-彩神ll争霸彩票-拼搏在线彩神网网页版步履不停。未来,彩神在线网信彩票-彩神通免费版下载-彩神8争霸vlll-彩神购彩购彩大厅-彩神软件陆立根免费版-彩神ll争霸3-彩神ll彩神8-彩神ll争霸彩票-拼搏在线彩神网网页版将继续携手行业专家,为更多生命提供主动脉腔内整体解决方案,共同助力血管腔内治疗创新发展。
